2025/10/14
10月4日(土)、5日(日)の二日間、1日休診をいただいて
所属しているスタディーグループFLATが主催する「マイクロダイレクトボンディング アドバンスコース」をスタッフとともに受講してきました。
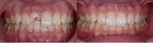
マイクロダイレクトボンディングとは顕微鏡で最大24倍に拡大して精密にむし歯を除去し、不必要に健全な歯質を削らないようし、
セラミック・コンポジットレジン(白い詰め物)をエナメル質と象牙質の接合よりも強力な接着力で、段差のない元の歯の形に精密に詰める治療法です。
段差がないため食べもがたまらず、元の歯のように磨きやすく、時間がたっても隙間が空きにくいのが特徴です。
このことから長期予後の良い(次のむし歯になりにくい)むし歯治療法です。
今回は今年の2月に受講したベーシックコースのアドバンスな内容です。
被せになるような大きなむし歯もマイクロダイレクトボンディングで治療するできるようにする内容でした。
被せに比べて歯を大きく削らなくて済みます。
被せは壊れたらまた歯を削って型を取ることになりますが、

マイクロダイレクトボンディングではかけた部分だけを修復でき、
新たに歯を削ることがないので歯の寿命を短くしません。
しかし、それには高度で難しい技術が必要です。

今回、詳細なところまで2日間しっかりと修得してきました。
このうち歯科ではこれからも毎日の研鑽を積みながら、より良い歯科医療を提供していきます。

