VPT症例 2025-12-10 130918 |岡山市北区津高の歯医者・歯科|このうち歯科
STAFF
スタッフ紹介
CONTENTS
診療案内
CLINIC
医院案内
INTERVIEW
インタビュー
ご予約・お問い合わせ
086-255-0404
〒701-1152 岡山県岡山市北区津高386-4
HOME
診療案内
医院案内
スタッフ紹介
インタビュー
よくある質問
交通案内
求人情報
料金表
お知らせ
CLOSE
VPT症例 2025-12-10 130918
HOME
VPT症例 2025-12-10 130918
2025/12/10
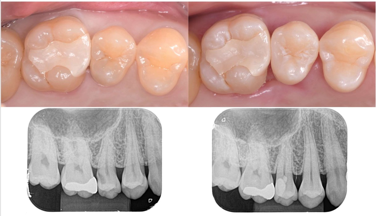
シンプルVPT~これがVital Pulp Therapyの完成形~ セミナー受講
ご予約・お問い合わせ
はこちら
086-255-0404